青年时报 做了膝关节手术却没有痛感,原来阿姨的膝盖被医生放进了“鸡尾酒”里
做了膝关节手术却没有痛感,原来阿姨的膝盖被医生放进了“鸡尾酒”里
来源:青年时报2019-06-12 时报记者 纪含羽 通讯员 王家铃 周素琴
前几天一大早,邵逸夫医院骨科的施培华主任医师正在带队查房,一位家属神情紧张地找过来,急急忙忙地说道:“施主任,我是您患者马女士的女儿。我妈今天早上特别担心,说她做完膝关节置换手术已经有两天了,为什么到现在为止还都不痛?这和她之前了解的情况不太一样啊,是不是手术出了什么问题?她急着让我过来找您!”
膝关节损伤决心忍痛做置换手术
马女士今年60多岁,平时爱爬爬山、散散步、跳跳广场舞。3年前,她开始出现了膝关节的疼痛,到医院一查,结果发现两侧膝关节都有软骨磨损,还长了不少骨刺。医生告诉她这是膝关节得了退行性骨关节炎的毛病,建议她以后要省着点用膝关节,不要再去爬山,连跳广场舞也要适可而止。
马女士严格照做,也尝试过各种理疗、吃了很多药、打了不少针,但是症状还是越来越重,几个月前连走几十米路都感觉膝关节疼痛难忍。她拉着丈夫又跑了一轮杭城各家大小医院,咨询了多位骨科专家,医生给出的建议都是做膝关节置换手术。但是马女士生平胆小,尤其当她多方打听了解到膝关节置换手术之后长期疗效不错、但术后短期疼痛还是非常明显的时候,心里又打起了一阵退堂鼓。
难道就这样一直痛下去,直到走不了路?在犹豫了好一阵子之后,马女士终于鼓起勇气,找到了病友们推荐的关节外科专家施培华主任。
施主任在认真询问病史及阅片后告诉马女士,她两侧膝关节的软骨几乎都已经磨光了,关节表面长了许多骨刺,关节间隙非常狭窄,双下肢的外观畸形也十分明显。马女士除了走路疼痛之外,膝关节的活动度也变得很差,无法正常伸直和弯曲,确实只能选择做全膝关节置换手术。考虑到右侧膝关节的症状更重,决定先实施右侧的手术,等过半年以后再行另外一侧的手术治疗。于是在所有准备工作安排妥当之后,施主任和周志杰副主任医师一起为马女士进行了右全膝人工关节置换术,整个手术过程非常顺利。
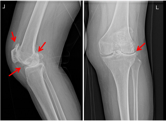
术前的X片提示:双侧的膝关节重度退变,骨刺增生明显,关节间隙狭窄。
术后一点都不疼让阿姨心生顾虑
“施主任,我的膝关节手术是不是做坏了?!别人都跟我说刚做完手术的那几天甚至好几个月膝关节都是非常痛的,我怎么一点也不痛啊?做完手术第一天不痛我想可能是麻药的劲还没过去,可现在已经是术后第二天了,我还是感觉不到痛,到底有没有问题啊?是不是手术把腿做坏掉了?”施主任一走进病房,马女士就焦急地问道。
施主任仔细检查了她的身体状况,做了手术的那条腿没有明显的肿胀,感觉和皮温完全正常,主动屈伸活动也已经练得相当不错,于是笑着答道:“你放心,手术没有任何问题。我们很多病人术后都和你一样几乎没有什么痛感,这是因为我们现在采用了“鸡尾酒”疗法等一系列措施来缓解病人术后的疼痛,效果都非常理想。”
什么是“鸡尾酒”疗法?
“顾名思义,‘鸡尾酒’疗法就是将麻醉药、抗炎药、血管收缩药等几种药物按一定比例配在一起,手术的时候打在膝关节里面。这样做完手术之后,膝关节相当于还泡在酒坛子里面,所以就彻底醉了!”施主任风趣地说道。
他补充到,据统计,约有20-30%病人对于膝关节置换术的疗效不满意,很大程度是因为手术后前期膝关节区域疼痛明显,甚至超过了术前的疼痛。而使用这个方法后,病人这方面的抱怨大大减少,满意度大大提高。
